上海金畔生物科技有限公司代理AAT Bioquest荧光染料全线产品,欢迎访问AAT Bioquest荧光染料官网了解更多信息。
- 产品参数
- 产品详情
ReadiUse Stayright Purple *20X HRP显色剂与过氧化氢混合染液*

简要概述
DAB已被用作 常用的IHC色原,因为它便宜且对常规应用敏感。但是,已证明DAB具有诱变性,并且对实验室工作人员和环境有害。为了解决这个问题,AAT Bioquest开发了这种新颖的Stayright Purple,它是一种比DAB更安全的IHC色原。此外,Stayright Purple提供了一种快速简便的方法,可在HRP存在的情况下以DAB的高灵敏度产生干净而强烈的紫色荧光。即用型Stayright Purple HRP底物还表现出非诱变作用,细胞毒性 小。 ReadiUse Stayright 紫色过氧化物酶(HRP)底物适用于基于过氧化物酶(HRP)的免疫组织化学(IHC)和原位杂交(ISH)染色方法。基材是含有过氧化氢的稳定的预混合溶液,因此无需任何混合步骤,即可使用。在HRP诱导的氧化作用下,Stayright Purple在测定的目标部位形成紫色不溶性沉淀产物。紫色 终产品不溶于有机溶剂和有机固定介质,因此可以通过常规的脱水和盖玻片步骤保持明显的紫色荧光。金畔生物是AAT Bioquest的中国代理商,为您提供优质的ReadiUse Stayright Purple *20X HRP显色剂与过氧化氢混合染液*。
产品说明书
样品实验方案
简要概述
-
在组织切片上涂抹即用型Stayright Purple溶液。
-
孵育组织切片5-15分钟。
-
漂洗组织5-10分钟,复染。
-
添加安装介质以覆盖该部分。
实验步骤
1.涂抹即用的Stayright Purple溶液。在室温下孵育5-15分钟。
2.将载玻片浸入dH2O中以停止颜色显影并监控染色强度。 如果染色强度不够明亮,则需要更长的孵育时间。 您可以重新应用Stayright Purple溶液来继续开发。
3.用dH2O洗涤5-10分钟。
4.如果需要,请使用所需的复染色。
5.用乙醇脱水,然后 固定在有机 固定介质中。
图示
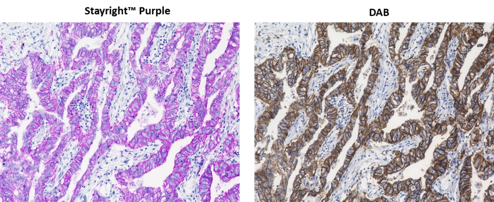
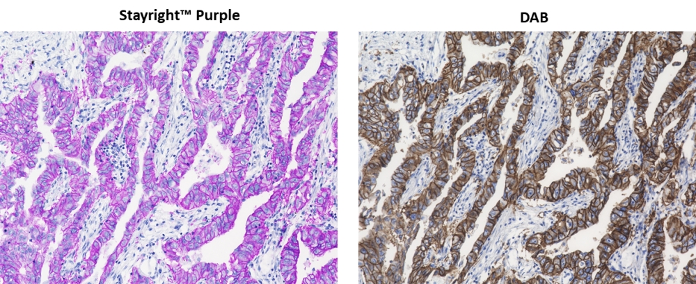
图1. FFPE肺腺癌组织中EpCAM的免疫组织化学检测。 将组织切片与多HRP共轭的山羊抗兔IgG孵育,然后分别用Stayright Purple(左)和DAB(右)显影。 |
图2.固定了人肺腺癌组织样品并对其进行了EpCAM染色。 将组织切片与抗EpCAM兔单抗体(左)或同种型IgG作为阴性对照(右)一起孵育。 然后将样品与结合了HRP的山羊抗兔IgG抗体孵育,并用Stayright Purple溶液显影信号。 Stayright Purple可产生干净的紫色荧光,无背景。 |